SurgicalPathology
-
Pathology
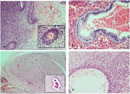
Seeing Isn’t Always Believing: The Essential Role of Histopathology in Confirming Endometriosis
Keywords: Endometriosis, Histopathology, endosalpingiosis Objectives: Endometriosis diagnosis has traditionally depended on visual identification during laparoscopy. However, variable lesion morphology and…
Read More »
