Pre-Coccygeal Cyst or Duplication Cyst Presentation
Mr. Swapnil Saraiya and Dr. Rudransh Guleria
Presented in 15th World Gastroenterology, IBD & Hepatology Conference from December 17-19, 2025, in Dubai, UAE & Online.
Speaker Name: Mr. Swapnil Saraiya and Dr. Rudransh Guleria
Location: UK
Research Interest: Presacral cysts, minimally invasive surgery, and conservative management of congenital lesions
Category: (Speaker/Oral )
Both are: Department of General Surgery, North Tees and Hartlepool NHS Foundation Trust, University Hospital of North Tees, Stockton-on-Tees TS19 8PE, UK;
Biography:
- Swapnil Saraiya is a Senior Registrar in General Surgery at North Tees and Hartlepool NHS Foundation Trust. His primary interest lies in gastrointestinal surgery.
- Rudransh Guleria is a Trust Grade Doctor at North Tees and Hartlepool NHS Foundation Trust. His interests include internal medicine, clinical research, and medical education.
Global Journal of Gastroenterology & Hepatology Research [GJGHR]
Visit Mr. Swapnil Saraiya Speaker page: https://gastroenterology.utilitarianconferences.com/speaker/dr-swapnil-saraiya
Visit Dr. Rudransh Guleria Speaker page: https://gastroenterology.utilitarianconferences.com/speaker/dr-rudransh-guleria
Introduction:
Presacral cystic lesions are rare and diagnostically challenging due to their nonspecific symptoms and deep anatomical location. We report a case of a young woman with a recurrently infected pre-coccygeal cyst, first identified following an emergency Caesarean section in 2020. Over the next five years, the lesion increased in size likely exacerbated by hormonal changes during successive pregnancies, resulting in chronic pelvic pain, neurological symptoms, and cutaneous fistulisation.
Imaging via MRI and CT demonstrated a complex, encapsulated lesion with peripheral enhancement and restricted diffusion. Multidisciplinary evaluation suggested a congenital epidermoid or duplication cyst. Given the absence of malignancy and surgical complexity, a conservative management strategy was adopted.
This case underscores the importance of including congenital presacral cysts in differential diagnoses and highlights the value of multidisciplinary input and longitudinal monitoring in guiding management.
Keywords:
Presacral cyst, Epidermoid cyst, Rectal duplication cyst, Fistulisation, Conservative management
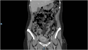
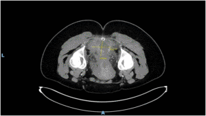
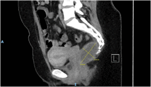
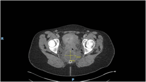
Figures:
Figure 1: Figure 1 Duplication cyst 2025 MRI sagittal plane

Figure 2: Figure 2 Duplication cyst 2025 MRI sagittal plane

Figure 3: Figure 3 Duplication cyst 2020 Coronal plane

Figure 4: Figure 4 Duplication cyst 2020 sagittal plane

Figure 5: Figure 5 Duplication cyst axial 2020 plane post cystic aspiration

Figure 6: Figure 6 Duplication cyst 2025 sagittal plane

Figure 7: Figure 7 Duplication cyst 2025 MRI axial plane

Figure 8: Figure 8 Duplication cyst 2020 axial plane

References:
[1] Hobson KG, Ghaemmaghami V, Roe JP, et al.: Tumors of the retrorectal space. Dis Colon Rectum. 2005, 48:1964-1974. [2] Dozois EJ, Jacofsky DJ, Dozois RR: Presacral tumors: diagnosis and management. Dis Colon Rectum. 2001, 44:580-591. [3] Hassan I, Wietfeldt ED: Presacral tumors: diagnosis and management. Clin Colon Rectal Surg. 2009, 22:84-93. [4] Lev-Chelouche D, Gutman M, Goldman G, et al.: Presacral tumors: A practical classification and treatment. Surgery. 2003, 133:473-478. [5] Tsai MJ, Wu MH, Chu KS, et al.: Retrorectal epidermoid cyst: A case report and review of the literature. World J Gastroenterol. 2008, 14:5401-5403. [6] Derouet H, Rousseau A, Herve S, et al.: Hormone receptor expression in congenital cysts: implications for growth during pregnancy. Histopathology. 2014, 65:437-445. [7] Yang DM, Jung DH, Kim H, et al.: Pelvic retroperitoneal cystic masses: CT and MR imaging findings and differential diagnosis. Radiographics. 2004, 24:1353-1365. [8] Kang HC, Menias CO, Gaballah MH, et al.: Beyond the bowel: mesenteric and omental cystic masses of gastrointestinal origin. Radiographics. 2018, 38:809-830. [9] Baek SK, Hwang GS, Kang SM, et al.: Transsacral approach for resection of presacral tumors: A single institutional experience. Ann Coloproctol. 2014, 30:192-196. [10] Mathis KL, Dozois EJ, Grewal MS, et al.: Malignant risk and surgical outcomes of presacral tailgut cysts. Br J Surg. 2010, 97:575-579. [11] Handa Y, Kato K, Kosaka T, et al.: Tailgut cyst: report of two cases and a review of the literature. Surg Today. 1997, 27:371-374. [12] Tang S, Tan J, Zhou Y, et al.: Rectal duplication cysts in adults: a retrospective study and review of the literature. BMC Gastroenterol. 2021, 21:3. [13] Bordeianou L, Deneve JL, Lacy BE, et al.: Transanal endoscopic microsurgery for presacral tumors: case series and review of techniques. Int J Colorectal Dis. 2015, 30:793-798.#PreCoccygealCyst #DuplicationCyst #RareGIConditions #GastroenterologyConference #IBDResearch #HepatologyUpdate #GIHealth #CaseReport #ClinicalGastroenterology #DigestiveDiseases #MedicalResearch #GlobalGastroenterology #GIPathology #RareDiseasesAwareness #SurgicalGastroenterology #PediatricGI #AdultGI #HepatologyResearch #IBDConference #MedicalConference #GIExperts #HealthcareInnovation #ClinicalResearch #MedicalEducation #GIOncology #DigestiveHealth #JournalPublication #GlobalMedicalResearch #GastroHepato #IBDInsights #GIClinicalCases #WorldGastroenterology #MedicalScience #HealthcareProfessionals #GIUpdates #HepatoBiliary #ColonAndRectal #RareCysts #ScientificPresentation #ResearchToPractice #EvidenceBasedMedicine #MedicalJournals #GlobalHealthResearch #GIWorld #AcademicMedicine #MedTalks #ConferenceHighlights #GICommunity
Tags
Crohn’s and Colitis Journals | Gastroenterology & Hepatology Journals | Gastroenterology Journals | Research Gastroenterology and Hepatology Journals | Clinical and Experimental Gastroenterology Journals | Gastrointestinal Endoscopy Journals | Therapeutic Advances in Gastroenterology Journals | Colorectal Disease: clinical and molecular gastroenterology and surgery Journals | Inflammatory Bowel Diseases Journals | Expert Review of Gastroenterology & Hepatology Journals | Clinical Colorectal Journals | Cancer Gut Journals | Endoscopy Journals | Hepatitis B Annual Journals | Hepato-biliary-Pancreatic Sciences Journals | Medical Bulletin Journals
Upcoming Conference:
16th World Gastroenterology, IBD, Hepatology Conference & Exhibition from October 12-14, 2026 in Dubai, UAE
Visit here: https://gastroenterology.utilitarianconferences.com/
Submit your abstract/research paper here: https://gastroenterology.utilitarianconferences.com/submit-abstract
Attend as a Speaker/Poster/Delegate In-person kindly register here: https://gastroenterology.utilitarianconferences.com/registration
Attend as a Speaker/Poster/Delegate virtually kindly register: https://gastroenterology.utilitarianconferences.com/virtual-registration