INFILTRATING EPITHELIOSIS OF THE BREAST: A CASE REPORT ON AN UNCOMMON AND CHALLENGING COMPLEX SCLEROSING LESION.
Dr Ankurita Kuppasad

Keywords: florid hyperplasia, uncertain behaviour
Introduction: Infiltrating epitheliosis (IE) of the breast is a complex sclerosing lesion rarely encountered in routine diagnostic practice. Histologically, all cases demonstrate florid usual ductal hyperplasia-like proliferation with irregular epithelial foci that appear to infiltrate into the adjacent scleroelastotic stroma. IE can easily be misdiagnosed as invasive carcinoma due to its infiltrative growth pattern and focal loss of myoepithelial cells. Most pathologists categorise IE in the radial scar/complex sclerosing lesion spectrum. Although association with
oncogenic PIK3CA 2,3 mutations has been found, its propensity to behave as a neoplastic proliferation is still
uncertain. It is currently regarded a florid hyperplastic entity requiring complete excision. Further studies are
needed to clarify its behaviour, association with carcinoma and its potential as a precursor lesion. Given its rarity and potential for misdiagnosis, recognising its subtle but distinctive features is essential. We report a case, aided by immunohistochemistry, that showcases these key histological features.

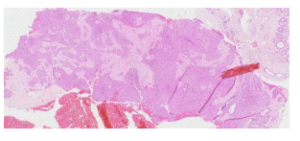
Fig1. Core biopsy of breast mass showing multiple expanded and anastomosing ducts with florid UDH-like epithelial proliferation

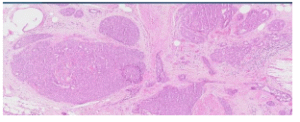
Fig 2. Multiple small keloid-like sclerotic bands seen intermingled amongst the epithelial proliferation

References:
[1] Eusebi V (2010) Semin Diagn Pathol, 27, 5-12. [2]
Eberle CA, Piscuoglio S, Rakha EA, et al. (2015)
Histopathology, 68(7), 1030-1039. [3] Wang L et al (2024)
Front Oncol, 14
https://doi.org/10.3389/fonc.2024.1354152
Biography: Dr. Ankurita Kuppasad MBBS DCP FRCpath,
Histopathology Specialty Registrar at Wycombe Hospital,
Buckinghamshire NHS Trust, UK.
Dr Gayathri Wathuge MBBS Dip Path MD FRCpath,
Consultant Cellular Pathologist and Co SDU Lead,
Wycombe Hospital, Buckinghamshire NHS trust, UK.
#UCJournals #BreastPathology #InfiltratingEpitheliosis #ComplexSclerosingLesion #BreastCaseReport #PathologyCase #RareBreastLesion #BreastResearch #BreastHistopathology #OncologyResearch #BreastTumor #DiagnosticPathology #Histopathology #MedicalCaseReport #BreastHealth #BreastTumors #BreastSurgery #BreastCancerAwareness #MedicalResearch #PathologyStudies #BreastImaging #ClinicalPathology #RarePathology #BreastClinic #SclerosingLesion #PathologyEducation #Oncopathology #MedicalEducation #BreastMedicine #BreastLesions #TumorPathology #BreastDiagnostics #BreastDisease #MedicalJournals #Histology #BreastOncology #BreastBiopsy #PathologyReport #BreastExperts #OncologyCaseReport #BreastHistology #BreastSpecialist #CaseStudy #MedicalCaseStudies #BreastCare #PathologyResearch #MedicalPathology #BreastDiseaseResearch #RareBreastCase #ClinicalResearch #PathologyCommunity

