Presented in 15th World Gastroenterology, IBD & Hepatology Conference from December 17-19, 2025, in Dubai, UAE & Online.
Speaker Name: Dr. Moaiad Elyas
Location: Saudi Arabia
Category: (Speaker/Oral)
Biography: Dr. Moaiad is a distinguished medical professional known for his expertise in gastroenterology and endoscopic procedures. He is the founder of the Dr. Moaiad A. Elyas Polyclinic, a private medical center specializing in the diagnosis and management of digestive system disorders. Dr. Moaiad Elyas is a renowned gastroenterologist and hepatologist at King’s College Hospital London in Jeddah, recognized for his exceptional proficiency and empathetic approach to patient care.
Global Journal of Gastroenterology & Hepatology Research [GJGHR]
Visit Speaker page: https://gastroenterology.utilitarianconferences.com/speaker/dr-moaiad-elyas
Abstract
We present a rare case of isolated colonic varices in a 48-year-old male with no evidence of portal hypertension or underlying liver disease. The patient presented with intermittent, painless rectal bleeding. Imaging and endoscopy revealed dilated colonic veins in both the right and left colon, with no signs of portal vein obstruction or cirrhosis. Conservative management was adopted due to hemodynamic stability and absence of active bleeding. This case underscores the importance of recognizing idiopathic colonic varices as a potential source of lower gastrointestinal bleeding, even in patients without liver disease.
Introduction
Colonic varices are an uncommon cause of lower gastrointestinal bleeding and are typically associated with portal hypertension due to chronic liver disease. Idiopathic or isolated colonic varices are exceedingly rare, with fewer than 40 cases reported in the literature. Their clinical presentation can mimic more common gastrointestinal disorders, complicating timely diagnosis. This case highlights the diagnostic considerations and management strategy for colonic varices occurring in the absence of portal hypertension.
Case Presentation
Patient Profile
- Name: A.A. (initials anonymized)
- Age: 48 years
- Sex: Male
- Occupation: Not disclosed
- Medical History: No known liver disease, alcohol use, or gastrointestinal disorders
- Presenting Complaint: Intermittent, painless rectal bleeding over two weeks
Clinical History
Mr. A.A. reported intermittent episodes of abdominal pain and bloating for one month. He was initially treated for irritable bowel syndrome (IBS) without clinical improvement.
Subsequently, he developed intermittent rectal bleeding, which prompted further investigation.
Physical Examination
- Vital Signs: Blood pressure 127/78 mmHg, heart rate 82 bpm — stable
- Abdomen: Soft, non-tender, no organomegaly
- Digital Rectal Examination: Trace blood on glove, no palpable masses
Laboratory Investigations
- Complete Blood Count: Mild anemia — hemoglobin 12.5 g/dL
- Liver Function Tests: AST, ALT, ALP, GGT, and bilirubin — within normal limits
- Coagulation Profile: INR and PT — normal
- Viral Hepatitis Panel: Negative
- Serum Albumin: Normal
- Fecal Calprotectin: Elevated (2,604 mg/kg), suggestive of intestinal inflammation
- Ultrasound Abdomen: Mild fatty liver; no other abnormalities
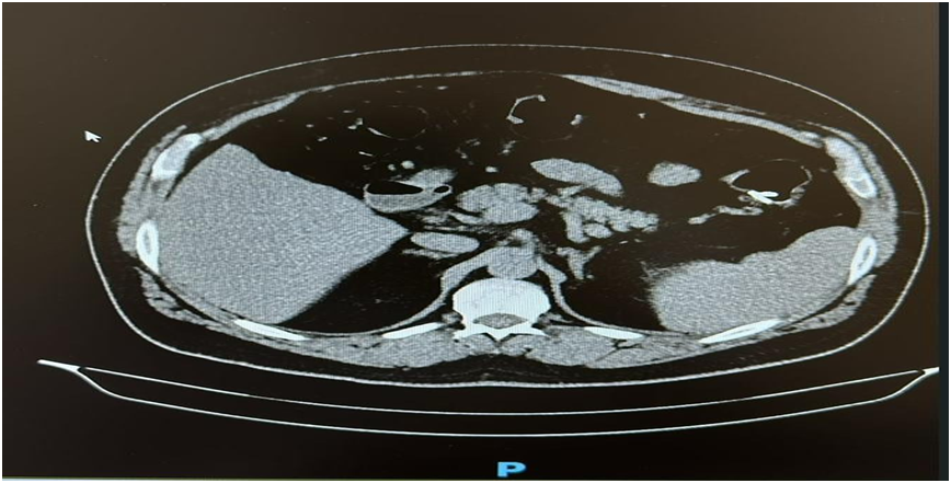
Imaging and Endoscopic Findings
· Colonoscopy:
- Ulceration and inflammation noted in the terminal ileum
- Inflamed rectal mucosa
- A small polyp in the left colon; biopsy resulted in active spurting hemorrhage, suggesting underlying varices
· CT Angiography:
- Dilated colonic veins in the right colon
- No evidence of splenomegaly, portal vein thrombosis, or liver cirrhosis
· Doppler Ultrasound of the Portal Circulation:
- Normal portal vein flow
- No sonographic signs of portal hypertension
Diagnosis
The Varices at left side and descending colon, Biopsied small polyp – active spurting bleeding >> small varices
Management
- Conservative management was chosen due to the absence of active bleeding and stable hemodynamic
- The patient was advised to avoid NSAIDs and activities that may increase the risk of bleeding
- Scheduled for follow-up colonoscopy in 12 months
- Educated about early warning signs of gastrointestinal bleeding and advised to seek immediate medical attention if symptoms recurred
Discussion
Colonic varices are most often a manifestation of portal hypertension and typically localize to the rectosigmoid colon. However, idiopathic colonic varices, as in this case, represent a rare and diagnostically challenging entity. Their pathogenesis is unclear, though possible etiologies include congenital venous malformations, segmental venous outflow obstruction, or idiopathic venodilation.
The absence of liver disease, normal portal Doppler study, and no history of abdominal surgery suggest a true idiopathic etiology in this patient. The elevated calprotectin may suggest a coexisting inflammatory process, though further workup would be required to confirm this.
Diagnosis relies on colonoscopy and vascular imaging such as CT angiography and Doppler ultrasonography. While biopsy of mucosal abnormalities is often routine, extreme caution is warranted when varices are suspected, due to the risk of life-threatening hemorrhage — as illustrated in this case.
Management is individualized based on bleeding severity. Stable, asymptomatic, or mildly symptomatic patients can often be managed conservatively. Endoscopic, radiologic, or surgical interventions are generally reserved for patients with severe or recurrent bleeding.
Conclusion
This case highlights the possibility of colonic varices in the absence of portal hypertension. A high index of suspicion, detailed endoscopic evaluation, and careful imaging are crucial for accurate diagnosis. Conservative management remains a viable approach in stable patients. Clinicians must be prepared to manage potential bleeding before attempting biopsy of suspected variceal lesions.
References
- Balthazar EJ, Liebeskind ME, Laufer Isolated Colonic Varices. Radiology. 1976;121(2):303–306. doi:10.1148/121.2.303
- Saad WE, Lippert A, Saad NE, Caldwell S. Pseudo-Varices of the Colonic Wall: Imaging Findings and Literature AJR Am J Roentgenol. 2010;195(2):W173– W179. doi:10.2214/AJR.09.3236
- Helmy A, Al Kahtani K, Al Fadda Updates in the Pathogenesis, Diagnosis and Management of Ectopic Varices. Hepatol Int. 2008;2(3):322–334. doi:10.1007/s12072-008-9061-0
- Watanabe Ectopic Varices. In: de Franchis R, ed. Portal Hypertension V. Wiley- Blackwell; 2011:227–231.
- Almadi MA, Cathers G, Bain Portal Hypertensive Colopathy: A Review of the Literature. Can J Gastroenterol. 2007;21(5):409–416. doi:10.1155/2007/789425
- Hosking SW, Johnson Gastric and Ectopic Varices in Portal Hypertension. Gut. 1988;29(3):306–311. doi:10.1136/gut.29.3.306
- Hashimoto N, Sato K, Horiuchi A, et A Case of Colonic Varices Diagnosed by Colonoscopy. Endoscopy. 2000;32(1):S29. doi:10.1055/s-2000-6350
- Khouqeer F, Memon A, Al-Mofarreh M, Shadood A. Idiopathic Colonic Varices Presenting with Massive Rectal Saudi J Gastroenterol. 1999;5(1):45–47.
- Atay M, Gokden Y, Gokcan H, Gurbuz AK. Idiopathic Colonic Varices: A Rare Cause of Lower Gastrointestinal World J Gastroenterol. 2008;14(43):6756– 6758. doi:10.3748/wjg.14.6756
- Chawla Y, Dilawari An Unusual Cause of Lower Gastrointestinal Bleeding: Colonic Varices. Am J Gastroenterol. 1992;87(8):1124–1125.
Crohn’s and Colitis Journals | Gastroenterology & Hepatology Journals | Gastroenterology Journals | Research Gastroenterology and Hepatology Journals | Clinical and Experimental Gastroenterology Journals | Gastrointestinal Endoscopy Journals | Therapeutic Advances in Gastroenterology Journals | Colorectal Disease: clinical and molecular gastroenterology and surgery Journals | Inflammatory Bowel Diseases Journals | Expert Review of Gastroenterology & Hepatology Journals | Clinical Colorectal Journals | Cancer Gut Journals | Endoscopy Journals | Hepatitis B Annual Journals | Hepato-biliary-Pancreatic Sciences Journals | Medical Bulletin Journals
Upcoming Conference:
16th World Gastroenterology, IBD, Hepatology Conference & Exhibition from October 12-14, 2026 in Dubai, UAE
Visit here: https://gastroenterology.utilitarianconferences.com/
Submit your abstract/research paper here: https://gastroenterology.utilitarianconferences.com/submit-abstract
Attend as a Speaker/Poster/Delegate In-person kindly register here: https://gastroenterology.utilitarianconferences.com/registration
Attend as a Speaker/Poster/Delegate virtually kindly register: https://gastroenterology.utilitarianconferences.com/virtual-registration
