Global Journal of Pathology & Laboratory Medicine
Volume 1, Issue 1, June 2020, Pages: 12-24
Received: May 10. 17, 2020; Accepted: May. 17, 2020; Published: June 10, 2020
Authors: Dr. Aya Abuzeid, Egypt
Abstract:
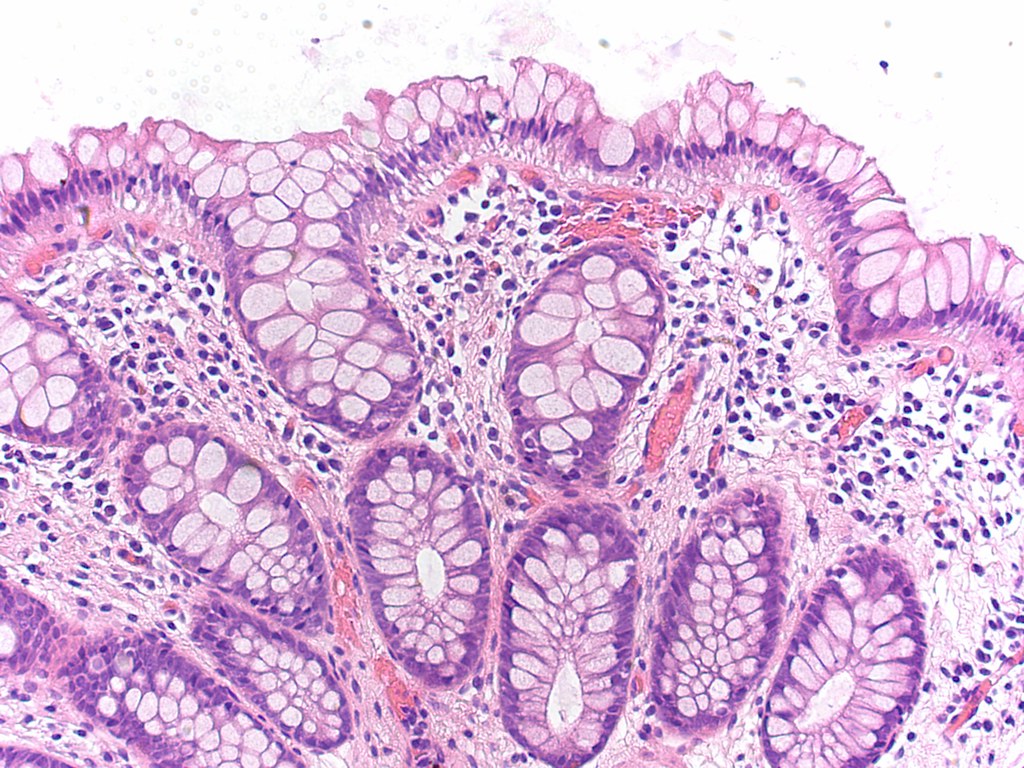
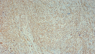
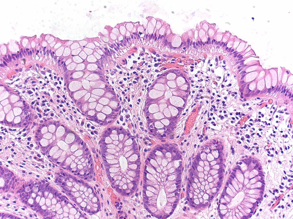
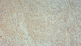
Introduction: Colorectal cancer (CRC) is one of the most common cancers worldwide. Individuals with elevated lipid levels are at risk for developing cardiovascular disease as well as cancer. Sterol regulatory element-binding protein transcription factors (SREBPs) are inducers of lipid synthesis. It’s reported that SREBP1a and its target gene FASN are metabolic oncogenes. Their suppression leads to decrease lipogenesis and reduce proliferation and survival of CRC. This study focuses on the expression of SREBP1a and FASN proteins in colorectal adenoma and carcinoma and correlates their expression with the available clinicopathological data.
Keywords: Colorectal Carcinoma, lipogenic pathway, SREBP 1a, FASN
Download Full Article & Abstract here:
Copyright
© Copyright 2020, All Rights Reserved. Use of this content signifies your agreement to the T&Cs of Unified Citation Journals
This abstract of Manuscript/Paper/Article is an open access Manuscript/Paper/Article distributed under the Creative Commons Attribution License (https://creativecommons.org/licenses/by/4.0/) which allows and permits unrestricted use, distribution, and reproduction in any medium, provided the original work is properly cited and accepted.
This communication and any documents, or files, attached to it, constitute an electronic communication within the scope of the Electronic Communication Privacy Act (https://it.ojp.gov/PrivacyLiberty/authorities/statutes/1285)
To citation of this article: Dr. Aya Abuzeid, Egypt,Role of sterol regulatory element-binding protein 1a and fatty acid synthase in colorectal carcinoma, Global Journal of Pathology & Laboratory Medicine
