Keywords: Endometrial carcinoma, FIGO grade 3, Pilomatrix-like high grade endometrial carcinoma
Introduction:
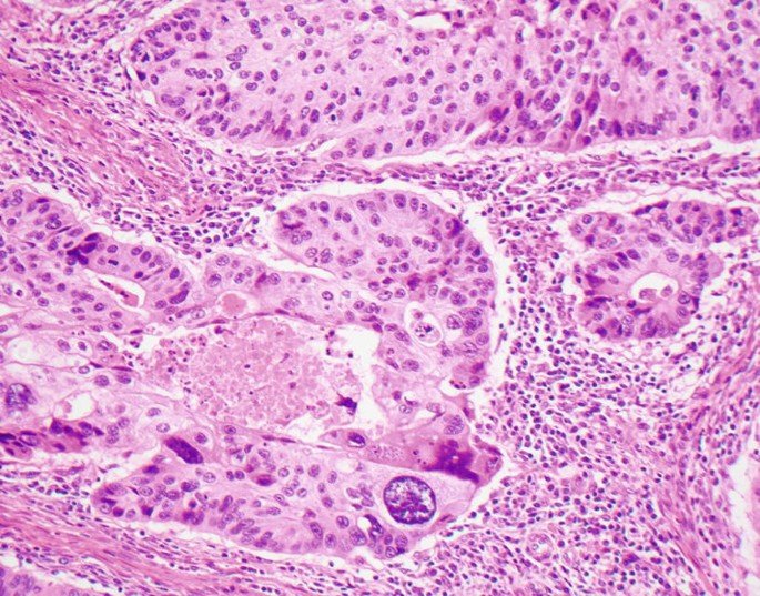
* The talk will include case presentations focusing on common diagnostic challenges, as well as new, emerging, and rare entities of endometrial carcinomas, particularly high-grade carcinomas. The goal of the presentation is to feel more comfortable with diagnosing high-grade endometrial carcinomas with overlapping morphology and immunoprofiles. These include endometrial carcinoma FIGO grade 3, undifferentiated carcinoma, neuroendocrine carcinoma, high-grade pilomatrix-like endometrial carcinoma, and gastric-type endometrial carcinoma mimicking low-grade endometrioid carcinoma.
* The objective of this talk is to explore the diagnostic dilemma associated with these entities, discuss their differential diagnoses, molecular findings, how to arrive at the correct diagnosis, and become familiar with newly recognized and rare entities in gynecologic pathology that carry significant clinical implications.
References: To be submitted at the time of the presentation
Biography: Nadia Hameed has completed her MBChB degree from the University of Baghdad, College of Medicine.
Anatomic and Clinical Pathology Residency at the University of South Alabama. Surgical Oncology Pathology Fellowship and Gynecologic Pathology Fellowship at MD Anderson Cancer. I am a member of USCAP, ASCP, and CAP, and serve as a podcast moderator at ISGyP. I have published abstracts in gynecologic pathology, and the most recent one is about high-grade pilomatrix-like carcinoma of the endometrium.
#UCJournals, #EndometrialCarcinoma, #HighGradeCarcinoma, #GynecologicOncology, #EndometrialCancerResearch, #CancerDiagnostics, #Oncopathology, #Histopathology, #MolecularPathology, #CancerBiomarkers, #UterineCancer, #GynecologicPathology, #TumorMarkers, #OncologyResearch, #CancerClassification, #PathologyUpdates, #WomenCancerAwareness, #EndometrialPathology, #MolecularOncology, #CancerHistology, #TumorGenomics, #CancerDetection, #OncologyDiagnostics, #PrecisionPathology, #OncoResearch, #PathologyInsights, #CancerDiagnosis, #CancerTheranostics, #OncologyInnovation, #UterineCarcinoma, #CancerScreening, #OncologyUpdates, #EndometrialCarcinomaResearch, #ClinicalOncology, #OncologyEducation, #GynecologicCancerResearch, #TumorBiology, #PathologyCommunity, #CancerHistopathology, #CancerResearchUpdates, #OncopathologyInsights, #TranslationalOncology, #EndometrialCancerCare, #OncologyChallenges, #CancerAwarenessResearch, #PathologyScience, #OncologyStudies, #CancerImmunohistochemistry, #OncologyExperts, #CancerManagement
