Presented in 13th World Gastroenterology, IBD & Hepatology Conference in Holiday Inn Dubai, Al Barsha, UAE & Virtual from December 15-17, 2023.
Poster Name: Dr. Stephanie Kahura
Category: Poster presentation
Biography: Stephanie Kahura has completed her Bachelors in Biomedical Sciences in addition to an MD degree with distinctions from the University Of Nicosia Medical School, Cyprus. She was thereafter appointed to the Oxford Deanery for foundation training that was successfully completed in August 2022. She is currently a foundation year 3 doctor in Oxford working on various research projects in line with the National Institute for Health Research.
S W. Kahura1 and E. A. Johns2 , Foundation Year 3 Doctor1 (Buckinghamshire Healthcare NHS Trust, Stoke Mandeville Road, Aylesbury, United Kingdom, HP21 8AL, Gastroenterology Consultant2 (Buckinghamshire Healthcare NHS Trust, Stoke Mandeville Road, Aylesbury, United Kingdom, HP21 8AL.
Global Journal of Gastroenterology & Hepatology Research [GJGHR]
Introduction: Acute diffuse phlegmonous oesophagitis, a scarcely reported ailment, is marked by purulent inflammation of both the submucosal and muscularis layers of the oesophagus (Kim et al., 2010). Our comprehension of the underlying pathophysiology remains vague due to the few detailed sightings of it thus far.
Follow Up Discussion: Although the exact aetiologies of the condition remain unclear, there have been several predispositions noted. Acute phlegmonous oesophagitis affects the middle-aged population with a male predominance. Overall, there is a dire need for the further exploration of the illness due to its high risk for continued complications. Patients require early diagnosis to better their prognosis (Shin et al., 2018).
Digital Formats:
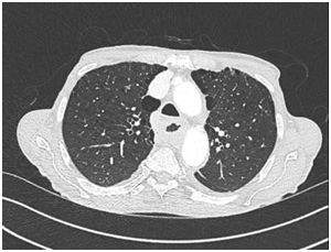
Fig 1 – Computed Tomography scan of the chest, abdomen and pelvis: severe relatively concentrical thickening of most of the oesophagus, especially of the oesophageal wall over approx- imately 15.5 cm in length
References:
- Kim HS, Hwang JH, Hong SS, Chang WH, Kim HJ, Chang YW, et al. Acute diffuse phlegmonous esophagogastritis: A case Journal of Korean Medical Science. 2010;25(10):1532.
- Shin HS, Kim SS, Kim JH. Acute phlegmonous esopha- gitis with mediastinitis complicated by an esophageal perfora- tion: A case report. Journal of the Korean Society of Radiology. 2018;79(1):45.
Keywords: phlegmonous infection, oesophagitis, pleural effusion
Tags
Crohn’s and Colitis Journals | Gastroenterology & Hepatology Journals | Gastroenterology Journals | Research Gastroenterology and Hepatology Journals | Clinical and Experimental Gastroenterology Journals | Gastrointestinal Endoscopy Journals | Therapeutic Advances in Gastroenterology Journals | Colorectal Disease: clinical and molecular gastroenterology and surgery Journals | Inflammatory Bowel Diseases Journals | Expert Review of Gastroenterology & Hepatology Journals | Clinical Colorectal Journals | Cancer Gut Journals | Endoscopy Journals | Hepatitis B Annual Journals | Hepato-biliary-Pancreatic Sciences Journals | Medical Bulletin Journals
Upcoming Conference:
14th World Gastroenterology, IBD & Hepatology Conference
Visit here: https://gastroenterology.universeconferences.com/
Submit your abstract/research paper here: https://gastroenterology.universeconferences.com/submit-abstract/
Attend as a Speaker/Poster/Delegate In-person kindly register here: https://gastroenterology.universeconferences.com/registration/
Attend as a Speaker/Poster/Delegate virtually kindly register here: https://gastroenterology.universeconferences.com/virtual-registration/
